藤原航太針灸院

痛み・痺れ・麻痺・自律神経症状の難治例の検証と臨床

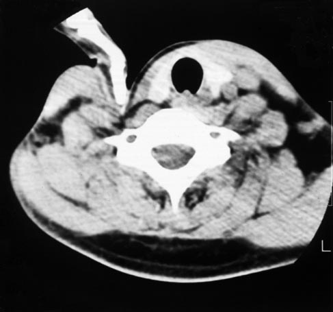
星状神経節ブロック

イメージ 1些か困難な刺入箇所というのが、星状神経節付近です。
 
現状はC3の神経根付近に刺入して、仮的なブロックを行っております。
 
ペインクリニックでは多くの効果を上げているそうですが、実際に受けた方々に感想を聞くと、何十回という回数を受けなければ効果が表れないとか、効果が感じられないという話をよく聞きます。
 
鍼で同様の箇所に行う場合、ペインクリニック等とは異なり、薬剤を浸潤させる目的ではない為、ホルネル徴候等の副作用(星状神経節に到達している証拠ともなる)はありませんが、ある意味、副作用が見られない代わりに、効いているのかどうかというのも疑問が出てきます。そして、何より刺入場所が如何せん患者様にとっては恐怖感を覚える場所でもあります。
 
治療家側としても、気胸や、頚動脈損傷のリスクもついてきます。
 
星状神経節ブロック治療に対して、患者様が恐怖心から治療院より足を遠のかせない為にも、その周辺の後頚部や側頚部を背面から治療を行っていったほうが無難かもしれませんね。